Приставы в средствах защиты отвезли асоциальную гражданку в тубдиспансер

В Саратовской области женщину с опасным заболеванием принудительно доставили в медучреждение, сообщает региональное ГУ ФССП.

В Саратовской области женщину с опасным заболеванием принудительно доставили в медучреждение, сообщает региональное ГУ ФССП.

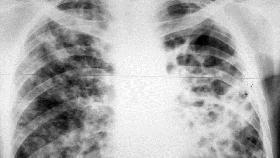
Жительница Дергачей, имея активную форму туберкулеза, пренебрегала рекомендациями врача. При неоднократных добровольных госпитализациях она покидала стационар спустя две недели.

Затем пациентка стала игнорировать вызовы фельдшера и продолжала находиться в обществе, ведя привычный асоциальный образ жизни.         

Суд вынес решение о принудительной госпитализации в противотуберкулезный диспансер.

Получив исполнительный документ немедленного исполнения, судебные приставы Дергачевского района установили местонахождение гражданки и в средствах индивидуальной защиты доставили ее в областной противотуберкулезный диспансер.

Женщине предстоит пройти обследование и длительный курс лечения.

Материал подготовил Дмитрий Герасимов

Последние новости

Речка-вонючка в Саратове. Отчаявшиеся горожане приглашают чиновников на

Жители поселка Тепличный (Гагаринский район Саратова) продолжают вынужденное сосуществование с круглогодичной "речкой-вонючкой" , образовавшейся из-за канализационных стоков.

Юбилей Победы. Мэрия Саратова отказалась искать у

Администрация Саратова не смогла найти место для бюста Иосифа Сталина в Парке Победы.

Под Аткарском перевернулась

Сегодня утром в Аткарском районе Саратовской области в ДТП пострадал мужчина, сообщает региональная Госавтоинспекция.

Потребительский кредит без боли: как не стать жертвой долговой ямы

Как взять кредит с умом и не пожалеть об этом спустя пару месяцев

На этом сайте представлены актуальные варианты, чтобы снять квартиру в Глазове на выгодных условиях

Комментарии (0)

Добавить комментарий

Ваш email не публикуется. Обязательные поля отмечены *